熊谷市深谷市根管治療マイクロスコープ 坂詰歯科・矯正歯科 日本顕微鏡歯科学会認定医が治療 MB2
- 根管治療
-

before
-

after
| 年齢: | 30代 |
|---|---|
| 性別: | 女性 |
| 主訴: | 非常に歯が痛い 歯茎も腫れている 根の先の膿を治してほしい マイクロスコープを使用して根管治療をしてほしい |
| 治療: | ラバーダム防湿、マイクロスコープを使用した精密な再根管治療 |
| 治療期間・回数 | 根管治療1回で完了 被せ物2回で完了 合計3回 |
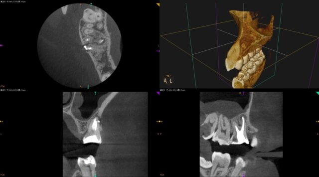
| 注意点 | この根管には偽根管と本来の根管とは違う、人為的な偽の根管が存在。本来の根管の中の感染源を除去するのが困難な症例。ニッケルチタンファイルを使用しプレカーブを付与して本来の根管へアプローチ。この歯は以前根管治療がされている。しかし近心形態が複雑で未治療根管が存在。MB2が存在。またCTを見たら側枝も存在。 |
| 備考 | 本症例は歯を抜かずマイクロスコープを使った根管治療根の治療で歯を抜かず残した。↓以下に治療動画を載せる。CT像を確認したら非常に根管形態が複雑であった。MB1、MB2<側枝が存在。マイクロスコープとCTがないと戦えない。根管治療は一回で終了。仮歯で経過観察。 |
根管治療は1回で終了。即日根管充填。治療時間は2時間であった。
治療前

治療後

動画








