桶川市上尾市根管治療マイクロスコープ 坂詰歯科・矯正歯科 日本顕微鏡歯科学会認定医が治療 MB2 weine分類4型
- 根管治療
-

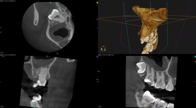
before
-

after
| 年齢: | 30代 |
|---|---|
| 性別: | 女性 |
| 主訴: | 歯がものすごく痛い。前医では治せないといわれた。根の先の膿を治してほしい マイクロスコープを使用して根管治療をしてほしい |
| 治療: | ラバーダム防湿、マイクロスコープを使用した精密な根管治療 |
| 治療期間・回数 | 根管治療2回で完了 被せ物2回で完了 合計4回 |
| 注意点 | この根管には偽根管と本来の根管とは違う、人為的な偽の根管を発生させる可能性。ニッケルチタンファイルを使用しプレカーブを付与して本来の根管へアプローチした。近心根にMB2が存在。weineの分類4型。非常に難易度が高い。マイクロスコープ、CTがあって診断可能。MB2は非常に狭窄している。 |
| 備考 | 本症例は動画で解説する。本症例は歯を抜かずマイクロスコープを使った根管治療で歯を残した。非常に丁寧に治療を行った。MB2が非常に狭窄しているため、通常施設では対応ができない。特殊なNITIファイルで対応する。MB2の根管充填非常に困難。本症例は歯冠部の破折が原因であった。 |
根管治療マイクロスコープ MB2を解説する
治療前

治療動画








